验证数据展示
经过测试的应用
| Positive WB detected in | fetal human brain tissue |
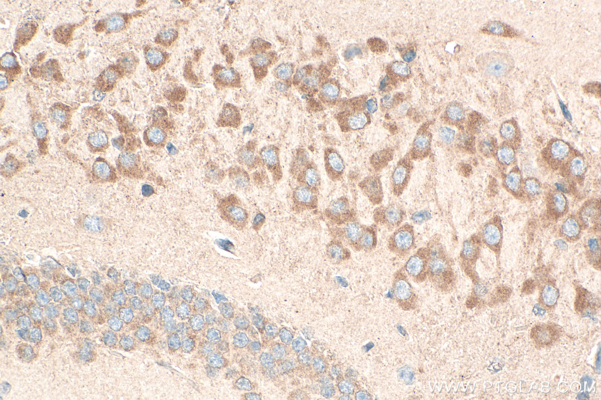
| Positive IHC detected in | mouse brain tissue Note: suggested antigen retrieval with TE buffer pH 9.0; (*) Alternatively, antigen retrieval may be performed with citrate buffer pH 6.0 |
推荐稀释比
| 应用 | 推荐稀释比 |
|---|---|
| Western Blot (WB) | WB : 1:500-1:2000 |
| Immunohistochemistry (IHC) | IHC : 1:250-1:1000 |
| It is recommended that this reagent should be titrated in each testing system to obtain optimal results. | |
| Sample-dependent, Check data in validation data gallery. | |
产品信息
11268-1-AP targets NELL2 in WB, IHC, IF, ELISA applications and shows reactivity with human samples.
| 经测试应用 | WB, IHC, ELISA Application Description |
| 文献引用应用 | WB, IHC, IF |
| 经测试反应性 | human |
| 文献引用反应性 | human, mouse |
| 免疫原 |
CatNo: Ag1793 Product name: Recombinant human NELL2 protein Source: e coli.-derived, PGEX-4T Tag: GST Domain: 443-740 aa of BC020544 Sequence: ECAEGRHYCRENTMCVNTPGSFMCICKTGYIRIDDYSCTEHDECITNQHNCDENALCFNTVGGHNCVCKPGYTGNGTTCKAFCKDGCRNGGACIAANVCACPQGFTGPSCETDIDECSDGFVQCDSRANCINLPGWYHCECRDGYHDNGMFSPSGESCEDIDECGTGRHSCANDTICFNLDGGYDCRCPHGKNCTGDCIHDGKVKHNGQIWVLENDRCSVCSCQNGFVMCRRMVCDCENPTVDLFCCPECDPRLSSQCLHQNGETLYNSGDTWVQNCQQCRCLQGEVDCWPLPCPDVE 种属同源性预测 |
| 宿主/亚型 | Rabbit / IgG |
| 抗体类别 | Polyclonal |
| 产品类型 | Antibody |
| 全称 | NEL-like 2 (chicken) |
| 别名 | NEL like protein 2, Nel related protein 2, NEL-like protein 2, Nel-related protein 2, NRP2 |
| 计算分子量 | 91 kDa |
| 观测分子量 | 100-110 kDa |
| GenBank蛋白编号 | BC020544 |
| 基因名称 | NELL2 |
| Gene ID (NCBI) | 4753 |
| RRID | AB_10638004 |
| 偶联类型 | Unconjugated |
| 形式 | Liquid |
| 纯化方式 | Antigen affinity purification |
| UNIPROT ID | Q99435 |
| 储存缓冲液 | PBS with 0.02% sodium azide and 50% glycerol, pH 7.3. |
| 储存条件 | Store at -20°C. Stable for one year after shipment. Aliquoting is unnecessary for -20oC storage. |
实验方案
| Product Specific Protocols | |
|---|---|
| IHC protocol for NELL2 antibody 11268-1-AP | Download protocol |
| WB protocol for NELL2 antibody 11268-1-AP | Download protocol |
| Standard Protocols | |
|---|---|
| Click here to view our Standard Protocols |
发表文章
| Species | Application | Title |
|---|---|---|
Nat Commun A small secreted protein NICOL regulates lumicrine-mediated sperm maturation and male fertility | ||
Reprod Biol Endocrinol Expression of NELL2/NICOL-ROS1 lumicrine signaling-related molecules in the human male reproductive tract | ||
Front Mol Biosci An Extracellular Matrix-Based Signature Associated With Immune Microenvironment Predicts the Prognosis and Therapeutic Responses of Patients With Oesophageal Squamous Cell Carcinoma. | ||
Front Neurol Tranylcypromine Causes Neurotoxicity and Represses BHC110/LSD1 in Human-Induced Pluripotent Stem Cell-Derived Cerebral Organoids Model. | ||
Oncol Rep microRNA‑196a‑3p inhibits cell proliferation and promotes cell apoptosis by targeting ADP ribosylation factor 4 in diffuse large B‑cell lymphoma. | ||
Discov Oncol Comprehensive analysis of basement membrane-related genes showed that NELL2 is a new therapeutic target for colorectal cancer |


