• Featured Product
  • KD/KO验证

PCNA Polyclonal antibody

PCNA Polyclonal Antibody for WB, IHC, IF-P, IP, ELISA
Cat No. 10205-2-AP

产品说明书

引用文献(1103)

宿主/亚型

Rabbit / IgG

种属反应性

human, mouse, rat and More (7)

应用

WB, IHC, IF-P, IP, ELISA and More (3)

Cyclin, proliferating cell nuclear antigen

缓冲液配方:  PBS, Azide, Glycerol
PBS, Azide, Glycerol
偶联物:  Unconjugated
规格价格库存


经过测试的应用

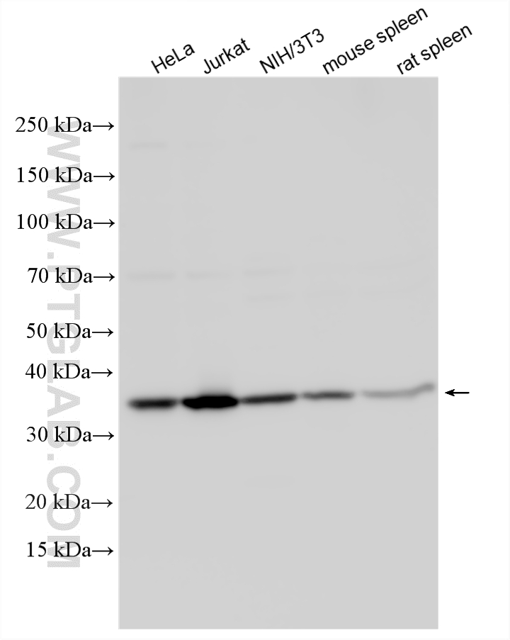
Positive WB detected inHeLa cells, A431 cells, BALB/3T3 clone A31 cells, HEK293 cells, Jurkat cells, MCF-7 cells, PC-12 cells, NIH/3T3 cells, C2C12 cells, mouse spleen tissue, rat spleen tissue
Positive IP detected inMCF-7 cells
Positive IHC detected inhuman stomach cancer tissue, human liver cancer tissue, human breast cancer tissue, human malignant melanoma tissue, human colon cancer tissue
Note: suggested antigen retrieval with TE buffer pH 9.0; (*) Alternatively, antigen retrieval may be performed with citrate buffer pH 6.0
Positive IF-P detected inmouse testis tissue, human breast cancer tissue
Planning an IHC experiment? We recommend our IHCeasy PCNA Ready-To-Use IHC Kit. PCNA primary antibody included.

推荐稀释比

应用推荐稀释比
Western Blot (WB)WB : 1:5000-1:50000
Immunoprecipitation (IP)IP : 0.5-4.0 ug for 1.0-3.0 mg of total protein lysate
Immunohistochemistry (IHC)IHC : 1:1500-1:6000
Immunofluorescence (IF)-PIF-P : 1:50-1:500
It is recommended that this reagent should be titrated in each testing system to obtain optimal results.
Sample-dependent, Check data in validation data gallery.

产品信息

10205-2-AP targets PCNA in WB, IHC, IF-P, IP, CoIP, ELISA, Cell treatment applications and shows reactivity with human, mouse, rat samples.

经测试应用 WB, IHC, IF-P, IP, ELISA Application Description
文献引用应用WB, IHC, IF, IP, CoIP, Cell treatment
经测试反应性 human, mouse, rat
文献引用反应性human, mouse, rat, rabbit, chicken, goat, sheep, fish, ducks, medaka embryos
免疫原

CatNo: Ag0277

Product name: Recombinant human PCNA protein

Source: e coli.-derived, PGEX-4T

Tag: GST

Domain: 8-256 aa of BC000491

Sequence: QGSILKKVLEALKDLINEACWDISSSGVNLQSMDSSHVSLVQLTLRSEGFDTYRCDRNLAMGVNLTSMSKILKCAGNEDIITLRAEDNADTLALVFEAPNQEKVSDYEMKLMDLDVEQLGIPEQEYSCVVKMPSGEFARICRDLSHIGDAVVISCAKDGVKFSASGELGNGNIKLSQTSNVDKEEEAVTIEMNEPVQLTFALRYLNFFTKATPLSSTVTLSMSADVPLVVEYKIADMGHLKYYLAPKIE

种属同源性预测
宿主/亚型 Rabbit / IgG
抗体类别 Polyclonal
产品类型 Antibody
全称 proliferating cell nuclear antigen
别名 Cyclin, proliferating cell nuclear antigen
计算分子量 29 kDa/31 kDa
观测分子量 36-38 kDa
GenBank蛋白编号BC000491
基因名称 PCNA
Gene ID (NCBI) 5111
RRIDAB_2160330
偶联类型 Unconjugated
形式Liquid
纯化方式Antigen affinity purification
UNIPROT IDP12004
储存缓冲液 PBS with 0.02% sodium azide and 50% glycerol, pH 7.3.
储存条件Store at -20°C. Stable for one year after shipment. Aliquoting is unnecessary for -20oC storage.

背景介绍

Proliferating Cell Nuclear Antigen, commonly known as PCNA, is a protein that acts as a processivity factor for DNA polymerase δ in eukaryotic cells. This protein is an auxiliary protein of DNA polymerase delta and is involved in the control of eukaryotic DNA replication by increasing the polymerase's processibility during elongation of the leading strand. PCNA induces a robust stimulatory effect on the 3'-5' exonuclease and 3'-phosphodiesterase, but not apurinic-apyrimidinic (AP) endonuclease, APEX2 activities. It has to be loaded onto DNA in order to be able to stimulate APEX2. PCNA protein is highly conserved during evolution; the deduced amino acid sequences of rat and human differ by only 4 of 261 amino acids. PCNA has been used as loading control for proliferating cells. This antibody is a rabbit polyclonal antibody raised against an internal region of human PCNA. The calculated molecular weight of PCNA is 29 kDa, but modified PCNA is 36kDa (PMID: 1358458).

实验方案

Product Specific Protocols
IF protocol for PCNA antibody 10205-2-APDownload protocol
IHC protocol for PCNA antibody 10205-2-APDownload protocol
IP protocol for PCNA antibody 10205-2-APDownload protocol
WB protocol for PCNA antibody 10205-2-APDownload protocol
Standard Protocols
Click here to view our Standard Protocols

发表文章

SpeciesApplicationTitle
WB

J Hematol Oncol

METTL16 promotes liver cancer stem cell self-renewal via controlling ribosome biogenesis and mRNA translation

Authors - Meilin Xue
mouse,humanWB

Protein Cell

NDFIP1 limits cellular TAZ accumulation via exosomal sorting to inhibit NSCLC proliferation

Authors - Yirui Cheng
humanWB

Mil Med Res

Aspartoacylase suppresses prostate cancer progression by blocking LYN activation

Authors - Hong Weng
mouseIF

Brain Behav Immun

An enriched environment restores hepatitis B vaccination-mediated impairments in synaptic function through IFN-γ/Arginase1 signaling.

Authors - Fangfang Qi
humanWB

Nat Commun

The RNA-binding protein LRPPRC promotes resistance to CDK4/6 inhibition in lung cancer

Authors - Wei Zhou
rabbitIF

Nat Commun

Four-dimensional hydrogel dressing adaptable to the urethral microenvironment for scarless urethral reconstruction

Authors - Yujie Hua
Loading...
||
New chat Able
正在加载,请稍候...