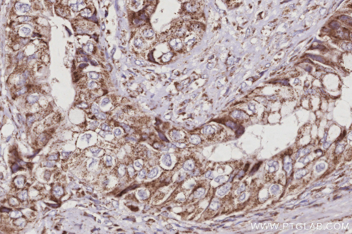
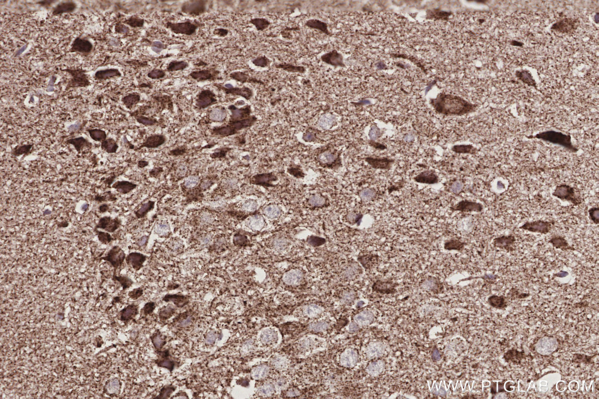
IHCeasy® OGDHL Ready-To-Use IHC Kit
OGDHL Ready-to-use reagent kit for IHC.
Reactivity
Human, Mouse, Rat
Sample Type
FFPE tissue
Cat no : KHC3034
Synonyms
2-oxoglutarate dehydrogenase complex component E1-like, 2-oxoglutarate dehydrogenase-like, mitochondrial, Alpha-ketoglutarate dehydrogenase-like, EC:1.2.4.2, KIAA1290
Validation Data Gallery
Product Information
KHC3034 is a ready-to-use IHC kit for staining of OGDHL. The kit provides all reagents, from antigen retrieval to cover slip mounting, that require little to no diluting or handling prior to use. Simply apply the reagents to your sample slide according to the protocol and you're steps away from obtaining high-quality IHC data.
| Product name | IHCeasy® OGDHL Ready-To-Use IHC Kit |
| Sample type | FFPE tissue |
| Assay type | Immunohistochemistry |
| Primary antibody type | Rabbit Polyclonal |
| Secondary antibody type | Polymer-HRP-Goat anti-Rabbit |
| Reactivity | Human, Mouse, Rat |
Kit components
| Component | Size | Concentration |
|---|---|---|
| Antigen Retrieval Buffer | 100 mL | 50× |
| Washing Buffer | 100 mL ×2 | 20× |
| Blocking Buffer | 5 mL | RTU |
| Primary Antibody | 5 mL | RTU |
| Secondary Antibody | 5 mL | RTU |
| Chromogen Component A | 0.2 mL | RTU |
| Chromogen Component B | 4 mL | RTU |
| Signal Enhancer | 5 mL | RTU |
| Counter Staining Reagent | 5 mL | RTU |
| Mounting Media | 5 mL | RTU |
| Datasheet | 1 Copy | |
| Manual | 1 Copy |
Background Information
OGDHL(oxoglutarate dehydrogenase-like) is also named as KGDE1KL, FLJ10851, KIAA1290 and belongs to the alpha-ketoglutarate dehydrogenase family. OGDHL is one of the rate-limiting component of the multienzyme OGDH complex (OGDHC) whose malfunction is associated with neuro-degeneration and it is localized only in the mitochondrial fraction and not in the cytosolic or nuclear fractions. OGDHL negatively regulates cell proliferation by inducing apoptosis in cervical cancer cells. It may thus participate in brain-specific control of 2-oxoglutarate distribution between energy production and synthesis of the neurotransmitter glutamate.
Properties
| Storage Instructions | All the reagents are stored at 2-8°C. The kit is stable for 6 months from the date of receipt. |
| Synonyms | 2-oxoglutarate dehydrogenase complex component E1-like, 2-oxoglutarate dehydrogenase-like, mitochondrial, Alpha-ketoglutarate dehydrogenase-like, EC:1.2.4.2, KIAA1290 |




