验证数据展示
经过测试的应用
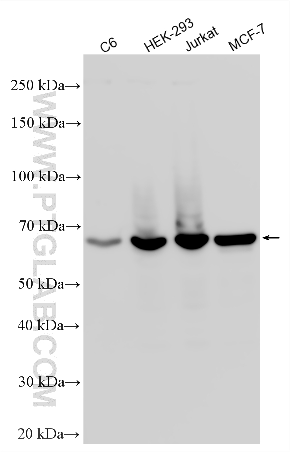
| Positive WB detected in | C6 cells, HEK-293 cells, human brain tissue, Neuro-2a cells, Jurkat cells, MCF-7 cells, HeLa cells, mouse kidney tissue, rat kidney tissue, mouse brain tissue, rat brain tissue |
| Positive IP detected in | HEK-293 cells |
| Positive IHC detected in | human lung cancer tissue, human colon cancer tissue Note: suggested antigen retrieval with TE buffer pH 9.0; (*) Alternatively, antigen retrieval may be performed with citrate buffer pH 6.0 |
| Positive IF/ICC detected in | sodium arsenite treated HeLa cells |
| Positive FC (Intra) detected in | HeLa cells |
推荐稀释比
| 应用 | 推荐稀释比 |
|---|---|
| Western Blot (WB) | WB : 1:2000-1:16000 |
| Immunoprecipitation (IP) | IP : 0.5-4.0 ug for 1.0-3.0 mg of total protein lysate |
| Immunohistochemistry (IHC) | IHC : 1:50-1:500 |
| Immunofluorescence (IF)/ICC | IF/ICC : 1:1000-1:4000 |
| Flow Cytometry (FC) (INTRA) | FC (INTRA) : 0.25 ug per 10^6 cells in a 100 µl suspension |
| It is recommended that this reagent should be titrated in each testing system to obtain optimal results. | |
| Sample-dependent, Check data in validation data gallery. | |
产品信息
13057-2-AP targets G3BP1 in WB, IHC, IF/ICC, FC (Intra), IP, CoIP, RIP, ELISA applications and shows reactivity with human, mouse, rat samples.
| 经测试应用 | WB, IHC, IF/ICC, FC (Intra), IP, ELISA Application Description |
| 文献引用应用 | WB, IHC, IF, IP, CoIP, RIP |
| 经测试反应性 | human, mouse, rat |
| 文献引用反应性 | human, mouse, rat, pig, monkey, chicken, zebrafish, drosophila melanogaster (fruit fly) |
| 免疫原 |
CatNo: Ag3728 Product name: Recombinant human G3BP1 protein Source: e coli.-derived, PGEX-4T Tag: GST Domain: 167-466 aa of BC006997 Sequence: PDDSGTFYDQAVVSNDMEEHLEEPVAEPEPDPEPEPEQEPVSEIQEEKPEPVLEETAPEDAQKSSSPAPADIAQTVQEDLRTFSWASVTSKNLPPSGAVPVTGIPPHVVKVPASQPRPESKPESQIPPQRPQRDQRVREQRINIPPQRGPRPIREAGEQGDIEPRRMVRHPDSHQLFIGNLPHEVDKSELKDFFQSYGNVVELRINSGGKLPNFGFVVFDDSEPVQKVLSNRPIMFRGEVRLNVEEKKTRAAREGDRRDNRLRGPGGPRGGLGGGMRGPPRGGMVQKPGFGVGRGLAPRQ 种属同源性预测 |
| 宿主/亚型 | Rabbit / IgG |
| 抗体类别 | Polyclonal |
| 产品类型 | Antibody |
| 全称 | GTPase activating protein (SH3 domain) binding protein 1 |
| 别名 | ATP-dependent DNA helicase VIII, EC:3.6.4.12, G3BP, G3BP 1, G3BP-1 |
| 计算分子量 | 466 aa, 52 kDa |
| 观测分子量 | 68 kDa |
| GenBank蛋白编号 | BC006997 |
| 基因名称 | G3BP1 |
| Gene ID (NCBI) | 10146 |
| RRID | AB_2232034 |
| 偶联类型 | Unconjugated |
| 形式 | Liquid |
| 纯化方式 | Antigen affinity purification |
| UNIPROT ID | Q13283 |
| 储存缓冲液 | PBS with 0.02% sodium azide and 50% glycerol, pH 7.3. |
| 储存条件 | Store at -20°C. Stable for one year after shipment. Aliquoting is unnecessary for -20oC storage. |
背景介绍
GAP SH3 Binding Protein 1 (G3BP1), also named as G3BP, is an effector of stress granule (SG) assembly. SG biology plays an important role in the pathophysiology of TDP-43 in ALS and FTLD-U. G3BP1 can be used as a marker of SG. It has been shown to function downstream of Ras and play a role in RNA metabolism, signal transduction, and proliferation. G3BP1 is a ubiquitously expressed protein that localizes to the cytoplasm in proliferating cells and to the nucleus in non-proliferating cells. G3BP1 has recently been implicated in cancer biology.
实验方案
| Product Specific Protocols | |
|---|---|
| FC protocol for G3BP1 antibody 13057-2-AP | Download protocol |
| IF protocol for G3BP1 antibody 13057-2-AP | Download protocol |
| IHC protocol for G3BP1 antibody 13057-2-AP | Download protocol |
| IP protocol for G3BP1 antibody 13057-2-AP | Download protocol |
| WB protocol for G3BP1 antibody 13057-2-AP | Download protocol |
| Standard Protocols | |
|---|---|
| Click here to view our Standard Protocols |
发表文章
| Species | Application | Title |
|---|---|---|
Cell Diverse CMT2 neuropathies are linked to aberrant G3BP interactions in stress granules | ||
Science Ubiquitination of G3BP1 mediates stress granule disassembly in a context-specific manner. | ||
Cell ELAVL4, splicing, and glutamatergic dysfunction precede neuron loss in MAPT mutation cerebral organoids. | ||
Cell RNA Granules Hitchhike on Lysosomes for Long-Distance Transport, Using Annexin A11 as a Molecular Tether. | ||
Cell Phase Separation of FUS Is Suppressed by Its Nuclear Import Receptor and Arginine Methylation. |
















